앞니 레진 변색은 라미네이트로 개선해요
페이지 정보
작성자 화이트드림치과 댓글 0건 조회 426회 작성일 25-03-19 17:32본문
인천라미네이트, 앞니 레진 변색은 라미네이트로 개선해요
치아 변색과 착색으로 고민이신가요?
라미네이트는 광범위한 레진 변색을 해결할 수 있는 효과적인 치료법입니다.
라미네이트는 왜 필요할까요?
✔ 레진 치료의 한계: 시간이 지나면서 변색과 착색이 심해짐
✔ 심미적 개선: 자연스러운 치아 색상 유지 가능
✔ 내구성: 레진보다 강하고 오래 지속되는 치료 효과
치료 사례
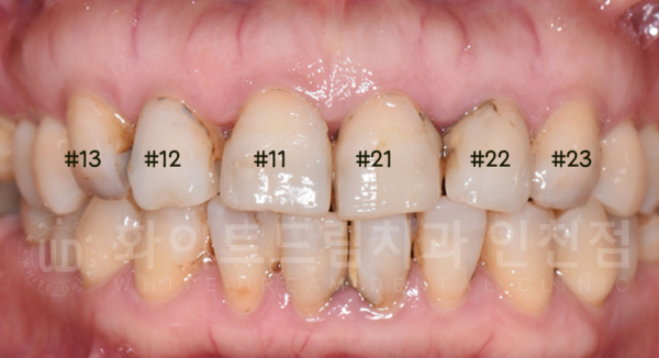
✔ 환자: 30대 여성, 기존 레진 치료 후 변색 심한 상태
✔ 기존 레진 탈락 및 착색으로 인해 심미적 문제 발생
✔ 스케일링 후 치은염 치료 후 라미네이트 진행
✔ 치료 기간: 1개월 (내원 3회)
✔ 결과: 자연스러운 색상의 앞니 복원
라미네이트 진행 과정
✔ 1단계: 구내 인상 채득 및 디자인 모델 제작
✔ 2단계: 환자와 상담 후 임시치아 부착
✔ 3단계: 최종 라미네이트 색상 확인 및 부착 (7~10일 소요)
치료 전후 비교
✔ 기존 레진: 변색 및 착색 심함, 표면 거칠음
✔ 라미네이트 후: 자연스러운 색상, 매끄러운 표면 유지
✔ 유지 관리: 변색이 적고, 치아 건강 유지 가능
이벤트 안내
✔ 2025년 3월 28일까지 라미네이트 할인 이벤트 진행
✔ 기존 50만원 → 40만원 (VAT 별도)
✔ 기간 내 예약 시 혜택 적용
결론
✔ 라미네이트는 변색된 앞니를 개선하는 효과적인 방법
✔ 레진 치료보다 내구성이 뛰어나고, 심미적 효과가 우수
✔ 빠른 치료 과정으로 부담 없이 진행 가능
✔ 이벤트 기간 내 상담을 통해 맞춤 치료 계획 수립 가능
치아 변색과 착색으로 고민이신가요?
라미네이트는 광범위한 레진 변색을 해결할 수 있는 효과적인 치료법입니다.
라미네이트는 왜 필요할까요?
✔ 레진 치료의 한계: 시간이 지나면서 변색과 착색이 심해짐
✔ 심미적 개선: 자연스러운 치아 색상 유지 가능
✔ 내구성: 레진보다 강하고 오래 지속되는 치료 효과
치료 사례
✔ 환자: 30대 여성, 기존 레진 치료 후 변색 심한 상태
✔ 기존 레진 탈락 및 착색으로 인해 심미적 문제 발생
✔ 스케일링 후 치은염 치료 후 라미네이트 진행
✔ 치료 기간: 1개월 (내원 3회)
✔ 결과: 자연스러운 색상의 앞니 복원
라미네이트 진행 과정
✔ 1단계: 구내 인상 채득 및 디자인 모델 제작
✔ 2단계: 환자와 상담 후 임시치아 부착
✔ 3단계: 최종 라미네이트 색상 확인 및 부착 (7~10일 소요)
치료 전후 비교
✔ 기존 레진: 변색 및 착색 심함, 표면 거칠음
✔ 라미네이트 후: 자연스러운 색상, 매끄러운 표면 유지
✔ 유지 관리: 변색이 적고, 치아 건강 유지 가능
이벤트 안내
✔ 2025년 3월 28일까지 라미네이트 할인 이벤트 진행
✔ 기존 50만원 → 40만원 (VAT 별도)
✔ 기간 내 예약 시 혜택 적용
결론
✔ 라미네이트는 변색된 앞니를 개선하는 효과적인 방법
✔ 레진 치료보다 내구성이 뛰어나고, 심미적 효과가 우수
✔ 빠른 치료 과정으로 부담 없이 진행 가능
✔ 이벤트 기간 내 상담을 통해 맞춤 치료 계획 수립 가능
댓글목록
등록된 댓글이 없습니다.













