넘어졌는데 치아가 밑으로 내려왔어요
페이지 정보
작성자 화이트드림치과 댓글 0건 조회 916회 작성일 25-03-19 17:07본문
구월동 앞니치과 / 넘어졌는데 치아가 밑으로 내려왔어요
외상으로 인한 치아 손상은 즉각적인 치료가 중요합니다.
치조골 파절과 치아 정출의 경우, 적절한 응급처치가 필수적입니다.
치아 외상 증상
✔ 치아가 원래 위치보다 아래로 내려옴 (정출)
✔ 출혈 및 잇몸 부종 발생
✔ 치아가 흔들리거나 통증이 동반됨
✔ 치아가 주변 치아와 맞물리지 않음
치조골 파절과 치아 정출 치료 과정
✔ 초기 검진: 3D-CT 및 X-ray 촬영을 통해 손상 정도 확인
✔ 부분 마취 후 치아 및 치조골 재위치
✔ 치아를 주변 치아와 고정하는 잠간고정술 진행
✔ 2~3개월 동안 치아 회복 상태 관찰
치아 외상 후 주의사항
✔ 딱딱하거나 질긴 음식 피하기
✔ 대합치(맞물리는 치아)와의 접촉을 줄이기 위해 교합 조정
✔ 구강 위생 철저히 관리하여 감염 예방
✔ 정기적인 내원으로 치아 상태 모니터링
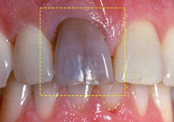
치수 괴사 발생 시 신경 치료
✔ 치수 손상 시 치아 색이 어두워질 수 있음
✔ 치수 괴사가 진행되면 신경 치료 후 크라운 보철 필요
✔ 외상 후 3개월간 정기적 관찰이 필수
결론
✔ 치아 외상 시 빠른 치과 방문이 중요
✔ 적절한 치료를 받으면 자연치아 보존 가능
✔ 치아의 위치 및 치조골 회복을 위해 3개월간 정기적 내원 필수
외상으로 인한 치아 손상은 즉각적인 치료가 중요합니다.
치조골 파절과 치아 정출의 경우, 적절한 응급처치가 필수적입니다.
치아 외상 증상
✔ 치아가 원래 위치보다 아래로 내려옴 (정출)
✔ 출혈 및 잇몸 부종 발생
✔ 치아가 흔들리거나 통증이 동반됨
✔ 치아가 주변 치아와 맞물리지 않음
치조골 파절과 치아 정출 치료 과정
✔ 초기 검진: 3D-CT 및 X-ray 촬영을 통해 손상 정도 확인
✔ 부분 마취 후 치아 및 치조골 재위치
✔ 치아를 주변 치아와 고정하는 잠간고정술 진행
✔ 2~3개월 동안 치아 회복 상태 관찰
치아 외상 후 주의사항
✔ 딱딱하거나 질긴 음식 피하기
✔ 대합치(맞물리는 치아)와의 접촉을 줄이기 위해 교합 조정
✔ 구강 위생 철저히 관리하여 감염 예방
✔ 정기적인 내원으로 치아 상태 모니터링
치수 괴사 발생 시 신경 치료
✔ 치수 손상 시 치아 색이 어두워질 수 있음
✔ 치수 괴사가 진행되면 신경 치료 후 크라운 보철 필요
✔ 외상 후 3개월간 정기적 관찰이 필수
결론
✔ 치아 외상 시 빠른 치과 방문이 중요
✔ 적절한 치료를 받으면 자연치아 보존 가능
✔ 치아의 위치 및 치조골 회복을 위해 3개월간 정기적 내원 필수
댓글목록
등록된 댓글이 없습니다.













